Zuby Bez Bolesti – Všechno, co potřebujete vědět o zdravých zubech

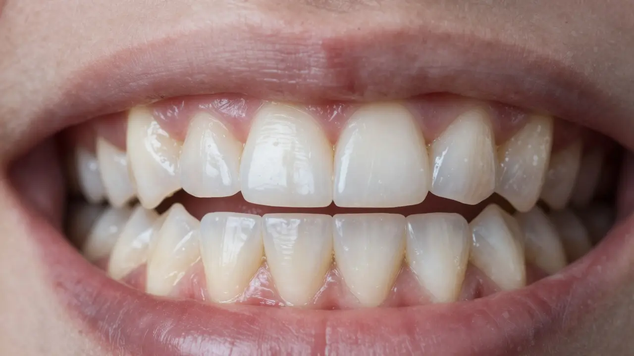
Vítejte na místě, kde najdete jednoduché a ověřené rady, jak si udržet úsměv bez bolesti. Přinášíme vám tipy na každodenní hygienu, prevenci kazů i informace o moderních metodách, které šetří váš čas i peníze.

Praktické tipy pro každodenní péči

Začíná to správným kartáčkem a dentální nití. Nepodceňujte mezizubní prostory – pravidelná kontrola pomáhá odhalit mezizubní kaz dříve, než se rozroste. Článek "Jak vypadá mezizubní kaz a jak jej předcházet" vám ukáže, co sledovat a jak čistit těžko dosažitelné místa.

Moderní bezbolestné metody

Chcete vědět, co nabízí dnešní stomatologie bez nepříjemných pocitů? Přečtěte si o kompozitních fazetách a jejich ceně, nebo o sadu na bělení zubů, která je bezpečná i pro citlivé sklíčitelné zuby. Naše průvodce vám pomohou vybrat správnou možnost a připravit se na pohodlnou návštěvu zubaře.

Všechny tyto informace najdete na jednom místě – Zuby Bez Bolesti. Sledujte naše novinky a mějte své zuby ve špičkové kondici bez zbytečného stresu.

10 výhod zubních implantátů, které byste měli znát

Zubní implantáty jsou trvalým, přirozeně vypadajícím řešením pro ztracené zuby. Víte, jak vám mohou zlepšit žvýkání, řeč, úsměv a celkovou kvalitu života? Zde je 10 konkrétních výhod, které byste měli znát.

More
Jak doplnit sklovinu u zubů - krok za krokem, co potřebujete vědět

Doplnění sklovinové výplně je jednoduchý zákrok, který může zabránit většímu poškození zubu. Nenechávejte opotřebované výplně bez úpravy - malá štěrbina může vést k novému kazu, zlomení zubu nebo dokonce ztrátě zubu.

More
Odstranění zubního kamene: Jak to funguje a proč je to tak důležité pro vaše zuby

Odstranění zubního kamene je klíčový krok pro zdravé zuby a dásně. Není to jen kosmetika - je to prevence proti ztrátě zubů a zánětům. Víte, kdy a proč ho potřebujete?

More
5 mýtů o zubních fasetách, které musíte přestat věřit

Zjistěte, co je pravda a co je mýtus o zubních fasetkách. Pět nejčastějších nesprávných představ, které vás mohou odrazit od zlepšení úsměvu. Fasetky nejsou jen pro slavné - jsou přístupné, trvalé a přirozené.

More
Jak se chovat po implantaci zubu: průvodce pro bezpečnou a rychlou uzdravení

Po implantaci zubu je klíčová správná péče. Zjisti, co dělat a co vyvarovat, aby implantát zacelil bez komplikací. Praktické rady pro bezpečné a dlouhodobé hojení.

More
Jak se vyhnout zničeným zubům po rovnátkách: Praktické rady z vlastní zkušenosti

Zničené zuby po rovnátkách jsou běžný problém, který se dá předcházet. Tento článek ukazuje, jak se vyhnout kazům a bílým skvrnám po odstranění drátků - s praktickými kroky, vlastní zkušeností a jasnými rady pro každodenní péči.

More
Co vytáhne zánět ze zubů? Praktické řešení bolesti předních zubů

Zánět ve zubech nevyléčí domácí prostředky. Zjistěte, co skutečně pomáhá při bolesti předních zubů, jak zastavit infekci a proč je důležité okamžitě navštívit zubaře.

More
Kompozitní fazety cena: Jaké jsou skutečné náklady na údržbu a životnost?

Kompozitní fazety jsou levná volba pro zlepšení vzhledu zubů, ale jejich údržba po letech může stát více než keramické. Zjistěte skutečné náklady, životnost a jak se s nimi chovat.

More
Jak se čistí korunky? Praktický průvodce pro trvalou péči o metalokeramické korunky

Zjistěte, jak správně čistit metalokeramickou korunku, aby vydržela desítky let. Naučte se, co se smí a co se nesmí dělat, a jak předcházet zánětům a kariésu pod korunkou.

More
Průvodce pro začátečníky: Jak používat dentální zrcátko správně

Dentální zrcátko je jednoduchý nástroj, který vám pomůže vidět skryté problémy ve vašich ústech. Při pravidelném používání snižuje riziko kámen, zánět dásní a karies. Naučte se ho správně používat a ušetříte si čas, peníze i bolest.

More